ユーザーIDを探す

名前とメールアドレスを入力してIDを探すことができます。

ユーザーIDを探す

お客様のIDの検索が完了しました。

パスワードを探す

名前とユーザーIDを入力してパスワードを探すことができます。

パスワードを探す

お客様のメールにパスワード情報を送信しました。

LUCINATE
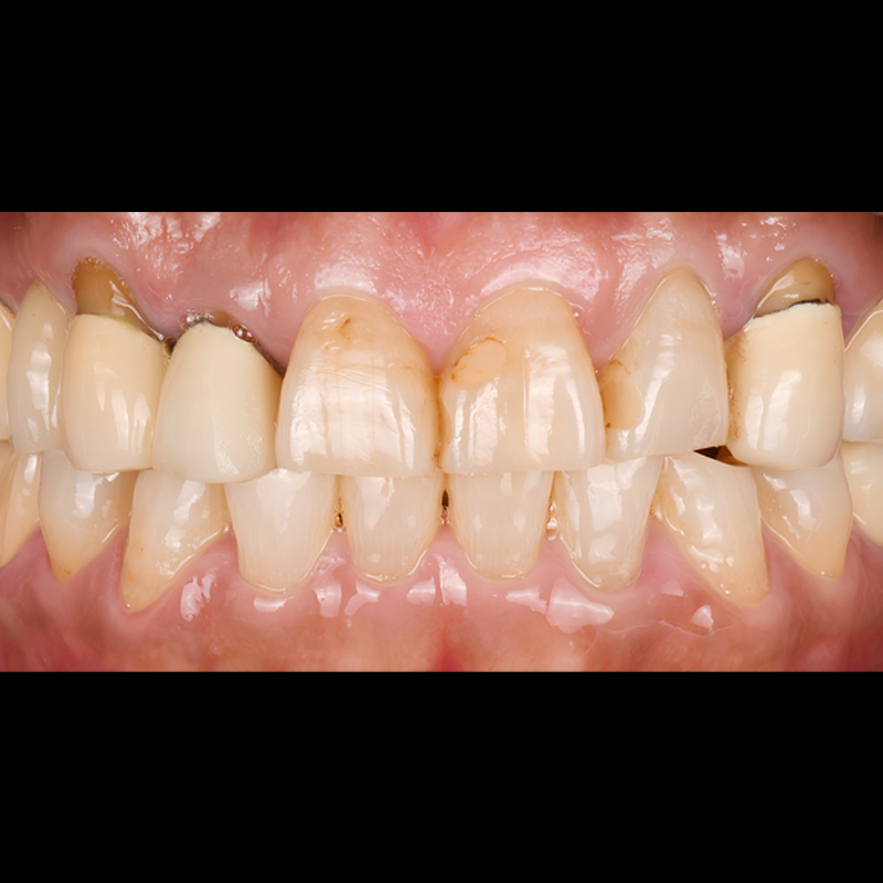
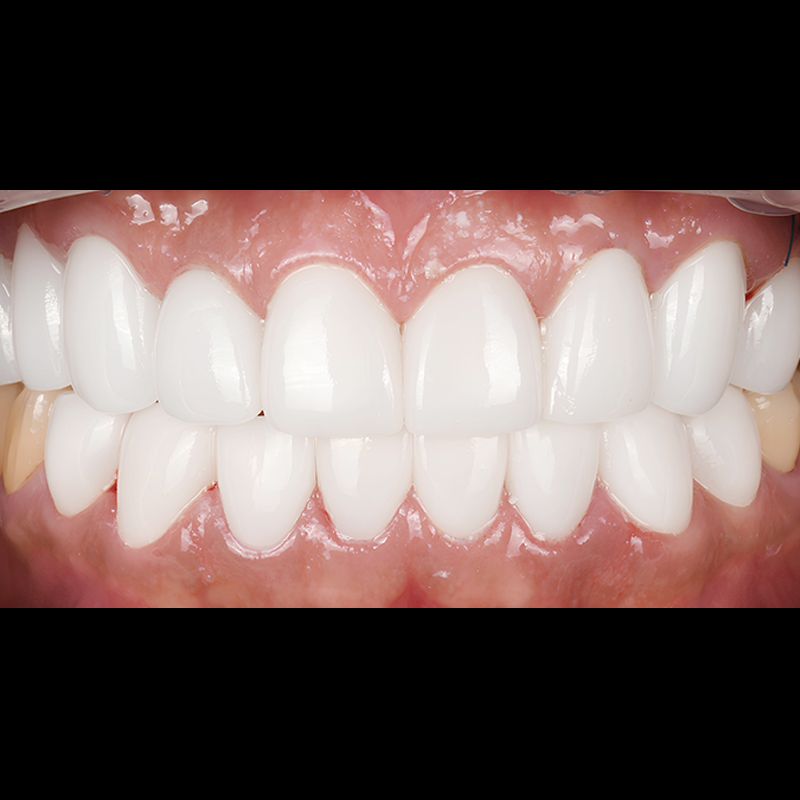
BEFORE AFTER

ルシネート前後の写真 2025.04.18


歯の着色治療のため、最小削除/無削除のルシネートを付着し、なめらかで自然な歯に仕上げました。

個人情報処理方針

ルシード歯科医院(以下「当院」)は、お客様の個人情報保護を非常に重要視し、『個人情報保護法』を遵守しています。

当院は、個人情報取扱方針を通じて、お客様が提供する個人情報がどのような用途と方式で利用されており、個人情報保護のためにどのような措置が取られているかをお知らせします。

個人情報取扱方針の順序は以下の通りです。

  • 1. 収集する個人情報の項目と収集方法
  • 2. 個人情報の収集及び利用目的
  • 3. 個人情報の保管及び利用期間
  • 4. 個人情報の廃棄手続き及び方法
  • 5. 個人情報の提供及び共有
  • 6. 収集した個人情報の委託
  • 7. 利用者及び法定代理人の権利及びその行使方法
  • 8. 同意撤回 / 会員退会方法
  • 9. 個人情報の自動収集装置の設置/運用及びその拒否に関する事項
  • 10. 個人情報管理責任者
  • 11. 個人情報の安全性確保措置
  • 12. 政策変更に伴う通知義務

1. 収集する個人情報の項目と収集方法

当院は以下の個人情報を収集します:

  • 진료정보: 성명, 생년월일, 주소, 연락처, 진료기록 (의료법에 의해 의무적으로 보유)
  • 회원가입 시: 필수항목 - 성명, 아이디, 비밀번호, 주소, 연락처(전화번호, 휴대폰번호), 이메일
    선택항목 - 생년월일, 문자 수신 여부, 메일 수신 여부, 관심 분야
  • 수집방법: 홈페이지, 서면양식, 팩스, 전화, 상담 게시판, 이메일

2. 個人情報の収集及び利用目的

当院は収集した個人情報を次のような目的で活用します。

  • 診断及び治療のための診療サービスの提供
  • 予約及び相談サービスの提供
  • 会員制サービスの運営
  • 統計作成及び新しいサービス案内

3. 個人情報の保有及び利用期間

当院は、個人情報の収集目的が達成された後、遅滞なく破棄します。ただし、法令に基づき保存する場合は次の通りです。

  • 消費者不満または紛争処理に関する記録:3年
  • 信用情報の収集・処理及び利用に関する記録:3年
  • 本人確認に関する記録:6ヶ月
  • 訪問に関する記録:3ヶ月

4. 個人情報の破棄手続き及びその方法

当院は個人情報の収集目的が達成された後、以下の手続きで破棄します。

  • 電子ファイル形式:復元不可能な技術的方法で削除
  • 紙文書:裁断または焼却

5. 個人情報の提供及び共有

当院は、お客様の同意がある場合、または法令に基づく場合に限り個人情報を提供します。

6. 収集した個人情報の取り扱い委託

当院は、以下のように個人情報を委託しており、法令に基づき安全に管理しています。

  • 受託業者:ワイソーカンパニー
  • 委託業務:ホームページの維持管理、アクセス記録の管理
  • 個人情報項目:名前、住所、電話番号
  • 保有期間:委託契約終了時まで

7. 利用者及び法定代理人の権利とその行使方法

満14歳未満の児童の場合、法定代理人の同意が必要です。また、代理人は個人情報の閲覧、修正、削除を要請できます。

8. 同意の撤回/会員脱退方法

会員脱退は当院ホームページのマイページから申請可能です。

9. 個人情報自動収集装置の設置/運営及びその拒否に関する事項

当院はクッキーを使用してカスタマイズされたサービスを提供します。

10. 個人情報管理責任者

  • 氏名:パク・ヒョンミン
  • 職位:代表院長
  • 連絡先:+82-2-6269-2875

11. 個人情報の安全性確保措置

当院は、パスワード暗号化、最新のウイルス対策ソフト使用、個人情報取り扱いスタッフの最小化などを通じて、個人情報の安全性を確保します。

12. ポリシー変更による公知の義務

この個人情報取扱方針は2023年4月1日に修正され、変更内容は少なくとも7日前に通知されます。

非給与診療料金表

施術名

価格

  • ルシネート クラシック

    119

  • ルシネート·プレミア

    139

  • ザ·ルシネート·プレミア

    199

  • メガジェンAnyOne

    59

  • オステムBA

    69

  • オステムSOI

    89

  • カスタムアバットメント

    10

  • カスタムアバットメント

    50

  • 骨移植

    30-45

  • 上顎洞挙上術(Crestal)

    50

  • 上顎洞挙上術(Window)

    100

  • 前歯部分矯正(1セット)

    129

  • クリッピーC矯正

    349 / 3

  • 舌側矯正

    528 / 5

  • インビジライン透明矯正

    1,000

  • 維持装置(1セット)

    30

  • 歯肉整形

    10

  • キュータン(CUTAN)移植材

    5

  • インレー

    30

  • レジン治療

    6-15

  • 歯ぎしり装置

    60