找回账号

您可以通过输入姓名和电子邮件来找回账号。

找回账号

您的用户名已找回。

找回密码

您可以通过输入姓名和用户名来找回密码。

找回密码

密码信息已发送至您的邮箱。

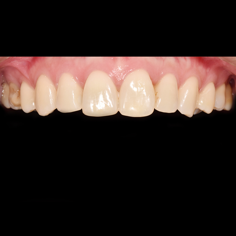
LUCINATE
BEFORE AFTER

Lucinate 贴面前/后照片 2025.04.18



为了治疗牙齿问题,我们采用了最小磨牙或无需磨牙的Lucinate贴面,完成了自然光滑的牙齿修复。

个人隐私政策

丽赛齿科医院(以下简称“本院”)非常重视保护您的个人信息,并遵守《个人信息保护法》。

通过本隐私政策,我们将向您告知您提供的个人信息将以何种用途和方式使用,以及为保护您的个人信息采取了哪些措施。

隐私政策的目录如下:

  • 1. 收集的个人信息项目及收集方式
  • 2. 个人信息的收集及使用目的
  • 3. 个人信息的保存及使用期限
  • 4. 个人信息的销毁程序及方法
  • 5. 个人信息的提供及共享
  • 6. 收集的个人信息的处理委托
  • 7. 用户及法定代理人的权利及其行使方式
  • 8. 同意撤回/会员注销方法
  • 9. 个人信息自动收集装置的安装/运营及其拒绝相关事项
  • 10. 个人信息管理负责人
  • 11. 个人信息的安全性保障措施
  • 12. 政策变更的公告义务

1. 收集的个人信息项目及收集方式

本院收集以下个人信息:

  • 诊疗信息:姓名、出生日期、地址、联系方式、诊疗记录(根据《医疗法》需强制保存)
  • 会员注册时:必填项目 - 姓名、用户名、密码、地址、联系方式(电话号码、手机号码)、电子邮件
    选填项目 - 出生日期、短信接收意愿、邮件接收意愿、兴趣领域
  • 收集方式:官网、书面表格、传真、电话、咨询留言板、电子邮件

2. 个人信息的收集及使用目的

本院将收集的个人信息用于以下目的:

  • 提供诊断及治疗的医疗服务
  • 提供预约及咨询服务
  • 运营会员制服务
  • 制作统计数据及通知新服务

3. 个人信息的保存及使用期限

本院在达到个人信息收集目的后,会立即销毁相关信息。但根据相关法律法规,需要保留的情况如下:

  • 消费者投诉或争议处理相关记录:保存3年
  • 信用信息的收集/处理及使用等相关记录:保存3年
  • 确认本人相关记录:保存6个月
  • 访问相关记录:保存3个月

4. 个人信息的销毁程序及方法

本院在达到个人信息收集及使用目的后,将按照以下程序销毁:

  • 电子文件形式:通过不可恢复的技术手段删除
  • 纸质文件:粉碎或焚烧

5. 个人信息的提供及共享

本院仅在获得您的同意或依据法律要求的情况下提供您的个人信息。

6. 收集的个人信息的处理委托

本院将部分个人信息处理工作委托给以下机构,并根据相关法律规定安全管理个人信息:

  • 受托机构:YISO公司
  • 委托工作:网站维护管理、访问记录管理
  • 个人信息项目:姓名、地址、电话号码
  • 保留期限:委托合同终止前

7. 用户及法定代理人的权利及行使方式

对于14岁以下的儿童,必须获得法定代理人的同意,法定代理人可以要求查看、修改或删除儿童的个人信息。

8. 撤回同意/会员注销方法

用户可通过本诊所官网的个人中心(“我的页面”)申请会员注销。

9. 个人信息自动收集装置的安装/运行及拒绝相关事项

本院通过使用Cookies(小型文本文件)提供个性化服务。

10. 个人信息管理负责人

  • 姓名:朴贤敏
  • 职位:代表院长
  • 联系方式:+82-2-6269-2875

11. 确保个人信息安全的措施

本院通过以下措施确保个人信息的安全性:密码加密、使用最新的杀毒软件、最小化处理个人信息的员工数量等。

12. 政策变更的公告义务

本隐私政策于2023年4月1日修订,政策变更内容将至少提前7天进行公告。

自费诊疗收费表

手术名称

价格

  • 露西奈特 经典款

    119

  • 荧光素溢价

    139

  • 绿宝石溢价

    199

  • MegaGen AnyOne数字工作站

    59

  • 奥齿泰 BA

    69

  • 奥齿泰 SOI

    89

  • 定制基台

    10

  • 种植体用氧化锆牙冠

    50

  • 骨移植

    30-45

  • 上颌窦提升术(Crestal)

    50

  • 上颌窦提升术(Window)

    100

  • 前牙部分矫正 (上颚)

    129

  • Clip-C矫正

    349 / 3

  • 舌侧矫正

    528 / 5

  • 隐适美透明矫正

    1,000

  • 保持器 (每颗)

    30

  • 牙龈整形

    10

  • 聚四氟乙烯移植材料

    5

  • 镶嵌

    30

  • 树脂治疗

    6-15

  • 磨牙矫正器

    60